
폐암은 폐에 덩어리나(pulmonary nodules)나 종양이 생기거나 성장하는 경우를 말합니다. 폐액괴는 일반적으로 정상 폐세포로부터 생기기 때문에, 일반적으로 종양이 아니고 악성(malignant)이 아닙니다. 그러나 종양이 생기거나 성장할 경우 폐암이 발생할 수 있습니다.

폐암의 증상은 일반적으로 천천히 진행됩니다. 처음에는 기침, 권태감, 체중 감소, 호흡곤란 등이 있을 수 있고, 진행될수록 가래, 호흡곤란, 권태감, 기침에 물을 섞어 나오기, 피곤감 등의 증상이 나타날 수 있습니다. 그 외에도 가벼운 소화기 증상, 기침에 의한 경련, 숨이 차거나 잠이 잘 안 와서 졸음감이 자주 들거나, 숨이 차거나 마치 물속에 잠긴 것처럼 느껴지는 기분 등의 증상도 있을 수 있습니다.
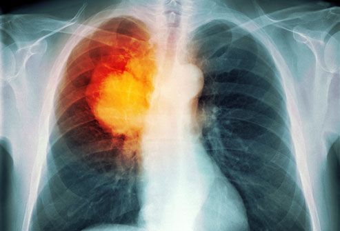
폐암의 진단은 주로 의사가 환자의 증상, 진료 이력, 가족 질환 여부, 기침 상태, 체중 변화, 기침에서 나오는 가래의 색깔 등을 질문하고, 폐 X선 촬영, 생리학적 검사, 폐기능 검사, 조영술 등을 통해 진단합니다.

폐암의 치료는 종양의 유형, 위치, 크기, 침범 정도에 따라 다릅니다. 일반적으로 암 수술, 항암치료, 전이 암일 경우 전이 제거 수술 등이 있습니다. 최근에는 일부 암종에 대해 유전자 치료를 시도하기도 합니다.
그 외에도 감염 예방을 위한 접종, 수술 후 정상 생활 적응을 위한 재활 요법, 수술 후 재발을 방지하기 위한 유전자 조절 요법, 그리고 환자와 가족의 정서적 지원 등이 필요할 수 있습니다.
폐암 치료의 성공률은 종양의 유형과 침범 정도, 환자의 전반적인 건강 상태, 수술 시기 등에 따라 다릅니다. 일반적으로 수술 전에 치료된 환자의 생존률은 수술 후 치료된 환자보다 낮습니다. 전문가의 진료를 받고 적극적으로 치료를 받을 경우, 폐암 치료의 성공률은 높아질 수 있습니다.

마지막으로, 폐암은 일반적으로 금연과 적극적인 운동, 적절한 식이, 적극적인 스트레스 관리 등의 예방 정책을 실천함으로써 예방할 수 있습니다. 금연은 폐암의 위험도를 줄일 수 있고, 적극적인 운동은 체중 관리와 같이 폐암 예방에 기여할 수 있습니다. 적절한 식이는 암 예방에 기여할 수 있고, 스트레스 관리는 일상적인 스트레스를 줄이고, 기분 전환에 기여할 수 있습니다. 스트레스 관리는 운동, 적절한 수면, 자연과 소통, 적극적인 재미있는 취미, 적극적인 사회적 관계 유지, 적극적인 자기계발 등을 통해 실천할 수 있습니다.

가족력 질환 여부, 음주, 과체중 등 위험 요인을 알고 있는 경우 이를 줄이기 위한 조치를 취하는 것도 중요합니다. 폐암은 일반적으로 정기적인 건강 검진을 통해 일찍 발견될 수 있기 때문에, 건강 검진 정기 참여는 폐암 예방에 기여할 수 있습니다. 그 외에도 폐암은 일반적으로 정기적인 건강 검진을 통해 일찍 발견될 수 있기 때문에, 건강 검진 정기 참여는 폐암 예방에 기여할 수 있습니다. 그리고 우리가 살고 있는 환경을 깨끗하게 유지하는 것도 중요합니다. 공기 오염, 산업적 활동으로 인한 유해 입자 중독 등은 폐암 위험도를 증가시킵니다. 이러한 요인들을 줄이기 위해서는 국가적, 지자체적 정책 및 제도가 적극적으로 운영되고 있어야 합니다.

건강한 생활 습관을 가지고 있는 것은 질병 예방에 중요합니다. 건강한 식이 습관, 적극적인 운동, 스트레스 관리, 금연, 음주 제한 등은 질병 예방에 기여할 수 있습니다. 이러한 생활 습관을 일상적으로 실천함으로써 건강한 삶을 영위할 수 있습니다. 그리고 정기적인 건강 검진을 실시하는 것도 질병 예방에 중요합니다. 정기적인 건강 검진을 통해 일찍 질병이 발견될 수 있기 때문입니다. 정기적인 건강 검진을 실시하면서, 개인의 질병 위험 요인을 알고 있는 경우 그것을 줄이기 위한 조치를 취할 수 있기 때문입니다.